
Servicio disponible para:
La VMAT es una forma de IMRT en la que la dosis de radiación se suministra al tumor mediante el giro continuado de 360º de la unidad de tratamiento.
La distribución de la dosis se va depositando de forma precisa moldeándose y adaptándose a la forma del tumor. Las sesiones pueden contener uno o varios arcos para el tratamiento y detenerse y ponerse en marcha en algunas angulaciones determinadas.

Esta técnica de tratamiento requiere que los aceleradores cumplan unas determinadas y exigentes especificaciones técnicas como disponer de tasas de dosis altas (velocidad a la que entrega la dosis), riguroso control de las velocidades de giro del acelerador y de movimiento de las láminas, etc.
En el tratamiento se debe utilizar un acelerador lineal. En la práctica, esta técnica permite realizar los tratamientos de forma muy rápida en comparación con otras técnicas, un giro completo. El tratamiento con un único arco de 360º lo puede realizar en menos de 2 minutos. VENTAJAS: más rápido, más preciso, más seguro, más cómodo para el paciente al tardar menos en la máquina de tratamiento.

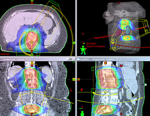
La arcoterapia volumétrica (VMAT) o tecnología de radioterapia RapidArc® es una forma avanzada de radioterapia de intensidad modulada (IMRT) que permite una distribución de dosis 3D conformada con precisión con una rotación de 360 grados del gantry durante un tratamiento con uno o varios arcos. A diferencia de los tratamientos con IMRT convencionales, en los que la máquina debe girar varias veces alrededor del paciente o hacer paradas repetidas y comienza a tratar el tumor desde varios ángulos diferentes, la VMAT/RapidArc puede administrar la dosis a todo el tumor en una sola rotación de 360 grados, generalmente en menos de dos minutos.
RapidArc utiliza un software especial y un acelerador lineal avanzado de Varian para aplicar tratamientos de IMRT hasta ocho veces más rápidamente de lo que era posible hasta ahora. El algoritmo garantiza la precisión del tratamiento, lo que ayuda a preservar el tejido sano circundante. RapidArc es posible gracias a innovaciones de software que pueden utilizarse con la tecnología de tratamiento fabricada por Varian.

RapidArc consta de dos componentes: (1) la planificación del tratamiento y (2) la administración del tratamiento, y se utiliza en pacientes de radioterapia y de radiocirugía. La arcoterapia volumétrica modulada difiere de las técnicas existentes, como la IMRT helicoidal o la arcoterapia de intensidad modulada (IMRT), ya que administra la dosis a todo el volumen en vez de hacerlo corte a corte. Además, el algoritmo de planificación del tratamiento garantiza la precisión del tratamiento, lo que ayuda a minimizar la dosis recibida por el tejido sano circundante.