
Servicio disponible para:
Procedimiento para el que se usa una computadora para crear una imagen tridimensional del tumor. Esto permite que los médicos administren la dosis de radiación más alta posible al tumor y, a la vez, protejan lo más posible de la radiación al tejido normal. También se llama radioterapia tridimensional y RTC-3D.

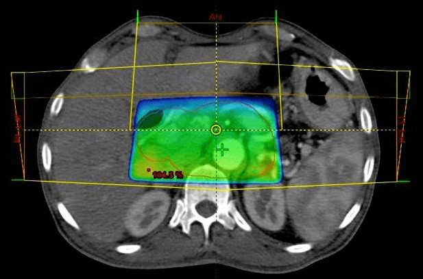
La radioterapia conformada tridimensional, uno de los tantos tipos de radioterapia, es una técnica que permite que los médicos dirijan haces de radiación que se adapten a la forma del tumor.

En comparación con la radioterapia bidimensional, la radioterapia conformada tridimensional envía radiación a las células cancerosas con mayor precisión mientras reduce la cantidad de radiación a las células sanas. Esta forma convencional de radioterapia se utiliza para tratar tumores cancerosos y no cancerosos en todo el cuerpo.

A fin de prepararse para una radioterapia conformada tridimensional, los especialistas utilizan tecnología de avanzada para diagramar la trayectoria de los múltiples haces de radiación que se apuntarán al tumor desde diferentes direcciones. Durante la radioterapia conformada tridimensional, los haces envían una dosis fija de tratamiento al tumor, que se disemina alrededor del tejido normal que lo rodea para minimizar la dosis de entrada y de salida que se aplica a cualquier área.
¿Que equipos se usan?

Un acelerador lineal médico (LINAC) genera los fotones, o rayos X, usados en la radioterapia conformal. La máquina es del tamaño de un carro pequeño (aproximadamente 10 pies [3 m] de alto por 15 pies [4,5 m] de largo). Durante el tratamiento el paciente debe permanecer quieto. La intensidad de radiación de cada haz varía dinámicamente según el plan de tratamiento.
Por lo general, el paciente no sentirá ninguna sensación mientras la radiación está siendo suministrada, pero oirá ruidos provenientes de la máquina, y podría percibir un olor que proviene del equipo electrónico, o ver una luz de advertencia.

Los olores y ruidos provenientes del equipo son normales. Durante el periodo de tratamiento, el paciente estará en la habitación solo, pero será monitoreado constantemente por los radioterapeutas desde afuera de la habitación. El tiempo en la sala de tratamiento dependerá del plan específico, pero generalmente es de 15 minutos a una hora.